Also known as “snuff”, “spit” or chewing tobacco, smokeless tobacco is held in the mouth between the teeth and cheek. Users spit out a black, tarry substance that forms when the tobacco combines with saliva. It is absorbed rapidly into the bloodstream through the lining of the mouth making it more addictive than smoking cigarettes.
Users of chewing tobacco suffer permanent gum and bone loss, unlike users of smoking tobacco who usually recover the loss after quitting. Smokeless tobacco is associated with professional sports but has increased in popularity, particularly among teenagers.
Side Effects
- Nicotine addiction – chewing an average amount for 30 minutes is like smoking four cigarettes
- Reduced sense of smell and taste
- Bad breath, stained teeth; recession of the gum line and changes in the colour and texture of mouth tissue
- Accumulation of tartar (calculus) and plaque
- Ulcers, upset stomach and increased bowel activity
- Increased sensitivity to hot and cold
- Delayed healing after dental work
- Increased heart rate
Risks
- Oral, pharyngeal (throat) and stomach cancer
- Cancers of the lungs and/or other parts of the body
- Heart disease; stroke; high blood pressure
- Chronic bronchitis, emphysema
- Periodontitis and tooth decay
- Premature aging
- Mouth sores or lesions that do not heal (tobacco-pouch keratosis)

Periodontitis
How to Quit
It is easier to quit smoking than to stop using chewing tobacco, but new tools are available to make it easier to be nicotine-free.
- Talk to your dentist and your doctor about developing a strategy to quit
- Have your dentist screen you for early signs of oral cancer and periodontal disease
- Anticipate triggers to using chewing tobacco and prepare strategies to avoid them.
- Reward yourself for reaching small goals — go out for dinner or buy yourself a gift
- Chew sugarless gum and drink water when cravings hit
- Incorporate exercise into your weekly routine
- To help prevent or reverse the risks, eat a healthy diet with lots of fruits and vegetables

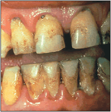
Before: 37-year-old heavy smoker with a heavy build up of dental calculus, stains, and severely offensive tobacco breath.

After: After quitting and a thorough cleaning, this smoker’s teeth were restored to their original whiteness. Failure to remain tobacco-free will cause the staining to recur in weeks.
Photos provided by Dr. Arden Christen, Indiana University School of Dentistry, Department of Oral Biology.
Recent Comments