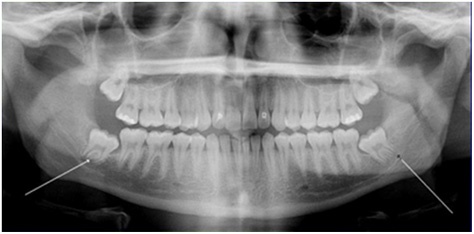
Our mouth is one crowded place!! It can hold a total of 28 teeth with 32 teeth vying for those 28 spots!! Wisdom teeth aren’t just for show. They play a vital part in limiting the wear on the rest of your teeth. Where are wisdom teeth? They are located behind your molars in the back of your mouth. Anthropologists believe that wisdom teeth were developed in order to chew “rough foods,” such as nuts, meat and leaves. We get many patients wondering why these important teeth need to be removed? Crowding is the simple answer.

Crowding causes severe pain and will ultimately degrade the teeth surrounding your wisdom teeth. We get lots of patients initially rejecting the idea of getting their wisdom teeth extracted but come back to us in a matter of months to get them removed as a result of the extensive pain of this concept. Major symptoms of wisdom teeth crowding is pain in the back of your mouth as well as a great deal of swelling in the same area. If this pain is increasingly getting stronger do not hesitate to call us immediately! If left untreated, severe oral infections can cause a variety of outcomes such as bad breath to even tumors! Getting these attended and checked out by marketplace Dental Centre, you are ensuring you are getting the upmost and professional cleaning anywhere in Georgetown!!
Recent Comments